Случай с клиентом. 4D цирконийный блок.
Published On: August 29, 2024
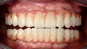
Мастер: Ивайло Димитров из Болгарии
Материалы: Yucera 4D Pro многослойный цирконический диск
Оттенки: А1
Published On: August 29, 2024
Мастер: Ивайло Димитров из Болгарии
Материалы: Yucera 4D Pro многослойный цирконический диск
Оттенки: А1
Оставьте сообщение
Мы скоро перезвоним!
Ваше сообщение должно быть от 20 до 3000 символов!
Пожалуйста, проверьте свою электронную почту!
Больше информации способствует лучшему общению.
Успешно отправлено!
Мы скоро перезвоним!
Оставьте сообщение
Мы скоро перезвоним!
Ваше сообщение должно быть от 20 до 3000 символов!
Пожалуйста, проверьте свою электронную почту!